Plastic Surgery
About
Dr. Kiran Gill
Christina Espineta, PA
Our Team
Aestheticians
Our Practice
Surgical Center
Patient Reviews
Q & A
Specials
Blog
Join Our Newsletter
Media
Video Library
Face
Deep Plane Facelift
Eyelid Surgery
Facelift
Fat Grafting
Lip Lift
Mini Facelift
Neck Lift
Renuvion®
Silhouette Instalift
Submental Liposuction
Ultherapy Prime
CoolPeel CO2 Laser
Breast
Breast Augmentation
Breast Lift
Breast Reconstruction
Breast Reduction
Breast Revision
Gynecomastia
Motiva Implants
Serene Implants
Preservé® Breast Augmentation
Body
Arm Lift
Avéli Cellulite Treatment
Labiaplasty
Liposuction
Mini Tummy Tuck
Mommy Makeover
Renuvion®
Tummy Tuck
Men
BOTOX
Injectables
Gynecomastia
Resources
Gallery
Med Spa
Patient Portal Login
Contact
Med Spa
Injectables
BOTOX
Dysport
Xeomin
Juvederm
Restylane
Sculptra
Lip Augmentation
Skincare & Acne Treatment
Facials
Skinceuticals
Skincare By Kiran Gill MD
Skinbetter Science
Latisse
Upneeq
Laser & Skin Rejuvenation
Smartskin Laser Resurfacing
Tempsure Cynosure
Palomar Icon Laser Resurfacing
SkinPen® Microneedling
VI Peels + Plus & Precision
Silhouette Instalift
Diamond Glow
Avéli Cellulite Treatment
Aquagold
Sclerotherapy
Ultherapy Prime
CoolPeel CO2 Laser
Resources
AESTHETICIANS
SPA MENU
SPECIALS
GALLERY
Contact
Kiran Gill, M.D. FACS
Book An Appointment
239.596.8000
Case-1102 Gallery
Home
|
Case-1102 Gallery
|
Case-1102
Back to Galleries »
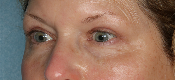
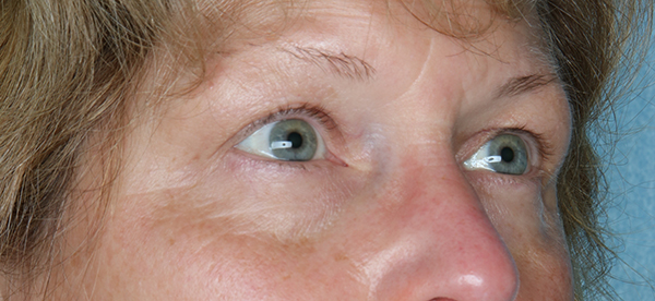
Case-1102
Case-1102
Products Used:
0.5 cc Restylane
Area treated:
Tear Troughs
Surgeon: Dr. Kiran Gill